
死ぬまでこのカラダを動かす上で、重要な部分【足】
ロコモティブ症候群(運動器症候群)
美白ブームと骨粗鬆症
増える転倒事故と寝たきり
120歳6ヶ月生きた、世界最長寿の男性の足裏
腰痛・肩こりは二足歩行の宿命?
死ぬまでこのカラダを動かす上で、重要な部分【足】
足、脚、あし・・・立つ・歩く・走るなどの基本動作は足から始まっています。
わたしたちが動くためにかかせない、死ぬまでこのカラダを動かす上で重要な部分ですが、建物でいえば土台です。それだけではありません。心臓から全身に送られた血液が足の先端まで届きます。足はその血液(リンパ・老廃物)を心臓に押しあげる働きもしています。
万能の天才といわれた巨匠レオナルド・ダ・ヴィンチ。
解剖学の研究家でもあった彼は、人の足について、
『足は人間工学上、最大の傑作であり、そしてまた最高の芸術作品である』
と述べています。
![]() |
| ダ・ヴィンチのデッサン |
ダ・ヴィンチの死後、500年弱。
現代では、人の足はその力強さを失いつつあり、危機的な状況にさえなっているように感じます。
98%の子どもは健康な足で生まれてくるが、
60%の大人は足に障害を持っている
■骨格系のトラブル
浮き指・外反母趾・内反小趾・扁平足・開張足・凹足・ハンマートゥ・浮き指・変形性膝関節症・変形性股関節症・O脚・X脚・骨粗鬆症、モートン病
■皮膚系のトラブル
巻き爪・魚の目・タコ・いぼ・水虫
■機能系のトラブル
足の冷え・むくみ・足底筋膜炎・膝の痛み・バランスによる肩こり・腰痛・ひざ痛・股関節痛・転倒
・・・足に関するトラブルをあげてもこれだけあります。
ロコモティブ症候群(運動器症候群)
足にトラブルがおきても『年だから・・・』と片付ける人も多いですが、放置していてはいけません。身体はいくつになっても変えることができます。
【身体を動かす機能が衰え、将来、自分自身の力で日常生活をこなせなくなり、介護が必要な可能性の高い状態】を【ロコモティブ症候群】と呼びます。
日本整形外科学会が、2007年に新たに提唱しました。
「ロコモ」の提唱には、「人間は運動器に支えられて生きている。運動器の健康には、医学的評価と対策が重要であるということを日々意識してほしい」というメッセージが込められています。
ロコモティブ症候群は予備軍まで入れると、日本の人口の約4割、約4700万人(変形性関節症と骨粗鬆症の推計患者数から割り出したと思われる)いるといわれています。これはメタボリック症候群の2倍(2000万人)です。
30代や40代では、あまりピンとこないかもしれませんが、特に女性は閉経後、女性ホルモン減少の影響で急速に骨量が失われます。変形性関節症になる率も男性より高い(O脚・肥満・老化が主な原因といわれている)。女性こそ、若いときからロコモティブ症候群の予防に努めるべきです。
美白ブームと骨粗鬆症
足のトラブルを考える上で、最初に考えなくてはいけないのが【骨】です。
次にその骨に適切な圧力をかけること。つまり、立ち・歩くことです。
真夏に帽子・サングラス・手袋・日傘で街を歩いている女性をみたことがありませんか?
骨のためにカルシウムを取ることは大事ですが、忘れているのが【ビタミンD】の存在です。
カルシウム自体は比較的吸収されにくい栄養素です。そのカルシウムの吸収を高め、骨の新陳代謝を活性化するのがビタミンDの役目です。
ビタミンDを多く含む食材には、サンマやイワシ、サバ、ニシンなどの魚類全般、また干し椎茸やきくらげなどの干したキノコ類に多く含まれています。
しかし、骨に必要なビタミンDのほとんどは紫外線が皮膚に当たることで体内でも合成されます。体内で合成されるので、吸収効率も高いのです。
人体の骨や歯の形成に必要なビタミンDは太陽光を浴びることで紫外線がコレステロールを変化させる事でおよそ必要な分のビタミンDの半分の量をまかなっている(残り半分は食べ物から得られている)ビタミンDが不足すると骨や歯が弱くなったり疲れやすくなったりする。ヒトにおいては、午前10時から午後3時の日光で、少なくとも週に2回、5分から30分の間、日焼け止めクリームなしで、顔、手足、背中への日光浴で、十分な量のビタミンDが体内で生合成される。
wikipedia『日光浴』より
世界的にみても、日本では皮膚がんのリスクは少ない地域です。ロコモティブ症候群の方が圧倒的に多いです。
紫外線による、シミなどを気にされる方もいますが・・・
50歳を過ぎて、【肌はキレイだけど、身体は思うように動かないの】と【肌は年相応で、身体は自由に動く】のと、どちらがいいのでしょうか?
過剰な美白は身体を弱くします。まるで地下で育てられたモヤシのように。。。
骨粗鬆症自体は怖い病気ではありません。転倒さえしなければ、、、
し骨密度が低下し、骨がスカスカになった状態では、ちょっとした転倒でも骨折しやすくなります。この骨折が怖い。
増える転倒事故と寝たきり
総務省統計局の調査による総人口に対する老年人口は、平成12年で17.5%だったのが、平成22年1月1日では22.8%。3人に1人が高齢者という時代もすぐそこにきている感じです。
『やっぱり、寝たきりにだけはなりたくないですね』
という話をちらほら聞く。
国民生活基礎調査によれば、65歳以上の寝たきり状態のおもな原因は高齢による衰弱を除けば、第1位が脳血管疾患(38%)、第2位は骨折(13%)ということがわかります。
この2つをあわせると寝たきり状態の原因の約半分を占めることになります。
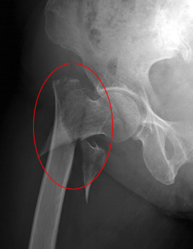
寝たきり原因・第2位の骨折は、70%が大腿骨頸部骨折で、その原因の95%は転倒によるものといわれいます。
![]() |
![]() |
| 大腿骨頸部骨折レントゲン | 大腿骨頸部骨折イラスト |
1987年、1992年、1997年に行われた、大腿骨頸部骨折全国頻度調査報告によると、寝たきりの原因となる大腿骨頸部骨折の大半は転倒や転落が原因であり、骨粗鬆症とも関連があることが明らかとなりました。大腿骨頸部骨折新患者数は1987年と1997年を比較して1.7倍も増加していたとのこと。
また別の調査では、骨粗鬆症は女性に多いこともあり、大腿骨頚部骨折の発生率は男性対女性では1:3。なんと、女性が男性の約3倍!!
『転倒による、大腿骨頸部骨折(股関節骨折)で寝たきりになる女性が多い』
というわけです。
前置きが長くなりましたが、【転倒予防と姿勢制御】を考えてみようかと思います。
■足裏のスゴイ情報収集能力
どうして、バランス(姿勢)が崩れ、転倒してしまうのか?
年をとって筋力が落ちたから?
では、筋力のない幼児はどのように立っているのか?
足裏に秘密があります。
足裏には姿勢を制御するために必要な情報を収集する【メカノレセプター】と呼ばれる神経器官がたくさん点在しています。特に前足部(親指)・中足骨・踵の体重のかかりやすい部分に集中しています。

【メカノレセプター】
「手足の位置情報・動作速度・圧力などの動きに関する様々な情報を脳に送っている受容器(receiptor・センサー)」
足裏にあるセンサーが刺激され、地面の状態やカラダの傾きなどを感知することで、身体の様々な筋肉に指令が送られ、姿勢を保つ働きが行われます。
メカノレセプターからの情報が少なくなることによって、姿勢制御がうまくできずに転倒の原因になるといわれています。
九州労災病院の整形外科医・井原秀俊先生らは、大学生11名を対象として、足趾・足底訓練を週3回、8週間行った結果、【筋力・筋反応・バランス・下肢制動機能・運動遂行能】が改善したとまとめた。
足趾・足底訓練によりメカノレセプターが賦活され、神経運動器強調を改善するとともに、足底筋群・腓腹筋・ハムストリングスの運動連鎖を誘発し、姿勢制御能が改善され、促進されたためと考察している。
さらに、訓練中止3ヶ月後も大部分が維持されていることがわかった。
足趾・足底訓練といっても、写真のようなカンタンな訓練です。
同じようなテスト(10分間、週3回、8週間)を高齢者に対して行った場合も、ふらつきが大幅に改善したという結果の報告もあります。
☆参考文献
井原秀俊,吉田拓也,高橋清美・他:足趾・足底訓練が筋力・バランス能に及ぼす効果.整形スポーツ会誌,1995,
井原秀俊,三輪 恵,石橋敏郎・他:足趾訓練の持続効果?訓練中止3ヵ月後の検討?.整形外科と災害外科,1997,
小林隆司,細田昌孝,峯松 亮・他:高齢者の足趾把握訓練. が静的重心動揺に及ぼす影響.日災医会誌,1999,
120歳6ヶ月生きた、世界最長寿の男性の足裏
泉 重千代さん(1865年8月20日 - 1986年2月21日)は、鹿児島県徳之島出身の元世界最長寿人物であり、男性としての「世界最長寿人物」記録はいまも彼が保持している。
120歳6ヶ月で亡くなられた。その泉さんが115歳の時の足裏写真です。
すばらしい土踏まずですよね。
メカノレセプターもしっかり刺激されていて、指と踵で大地を踏みしめていたことがうかがえます。

腰痛・肩こりは二足歩行の宿命?
足のトラブルや腰痛・肩こりまで、人が二足歩行するのが原因で、宿命みたいなモノ・・・という人もいますが、わたしはそうは思いません
化石から推定されているのは、約500万年も前から二足歩行をしているとのこと。
タンザニアのラエトリ遺跡では、360万年前の人類(アファール猿人)の2列の足跡が発見されていますが、その速度はおよそ1.0m/sで、これは現代人が市街で歩く速度とほぼ同じだといいます。
ラエトリの足跡の発見により,人類が石器の制作や脳の拡大よりもずっと前に,完全な直立二足歩行をしていたことが証明されたのでした。
脳は飛躍的な進化をしていて、身長も時代によって大幅に変わっています。
1974 年に発見された320万年前の成人女性の化石「ルーシー」は、身長1.1m、体重29kgで、一般的なチンパンジーに近いようにも見える。しかし、この小さな脳を持つ存在の骨盤と足の骨は、機能的には現代人と同じものであり、確かに直立二足歩行をしていたことを示している。股関節の骨頭も現代人のそれより小さい。
もし、二足歩行が症状の原因ならば、その果てしない時間、人はナニをしていたのか?
足だけが400万年も進化をやめていたのか?
すでに立つ・歩くという基本機能は完成していたのではないか?
ならば、崩れた足の構造を戻すだけで、たいていのことは解決するのでは?
例えば、子どもは特殊な訓練をしなくても、自然に歩き、症状は持っていない。
足から、いわゆる健康というモノが手に入るのではないか?
足の問題から全身へと解決するため、いろいろと調べていくうちに、足半という奇妙な履き物に出会いました。

150年ぐらい前の、足半を履いている野菜売り。
ものすごい重そうですが、楽々運んでいた感じです。
長崎大学附属図書館所蔵の「幕末・明治期日本古写真コレクション」より引用
Amazonで購入できます。売り上げランキング: 11,075
売り上げランキング: 4,751










こんにちは。足半屋主人の松田俊輔ですm(__)m